
Nuestros servicios
Es importante contar con un veterinario clínico de cabecera para coordinar junto al servicio de oncología, la estrategia más adecuada para el paciente.

Quimioterapia

La quimioterapia en oncología consiste en el uso de drogas citostáticas con el objetivo de tratar enfermedades tumorales. Se utiliza para estabilizar el crecimiento de los tumores o para disminuirlos total o parcialmente, y tiene gran respuesta en enfermedades quimiosensibles.
A diferencia de lo que sucede con la quimioterapia aplicada en humanos, en animales es de vital importancia aspirar a lograr calidad de vida y eso justifica plenamente su utilización. Es importante remarcar además, que en pequeños animales los efectos secundarios son mínimos o inexistentes.
El manejo de citostáticos debe ser realizado con normas de bioseguridad que aseguren el bienestar tanto del asistente, como del paciente. La aplicación de las diferentes drogas se realiza por vía endovenosa (EV), subcutánea (SC), intramuscular (IM) u oral (PO).

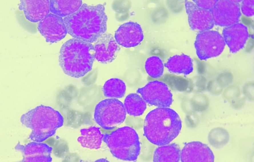
Citología y biopsia

La citología es un método diagnóstico sencillo, eficaz y de alta seguridad para el paciente oncológico. Consiste en la punción o raspaje de nódulos, masas, úlceras o lesiones, con el fin de obtener material celular de calidad para poder ser interpretado por nuestra citopatóloga.
Como toda técnica tiene sus limitaciones. En algunos casos, puede no ser certera o incluso el material extraído no ser suficiente para llegar a un diagnóstico, por eso en determinados pacientes debe complementarse con el análisis histopatológico obtenido por biopsia.
La biopsia consiste en la extracción de un fragmento del tumor de manera incisional (tru-cut, punch o cuña) o escisional (quirúrgico). Una vez obtenida la muestra, se envía a histopatología para arribar a un diagnóstico. En algunos pacientes se requiere una segunda tinción, llamada inmunohistoquímica.
Estas técnicas no sólo aplican a estructuras superficiales, sino también en órganos como el hígado o pulmón. En nuestra clínica realizamos la citología y/o biopsia ecoguiada de un órgano interno con diagnóstico in-situ, permitiendo corroborar que la muestra sea adecuada para su análisis posterior.
En Anoikis contamos con un plantel interdisciplinario de profesionales: oncólogos, cirujanos, anestesiólogos y citopatólogos para poder asegurar una correcta toma de muestra e interpretación final.

Criocirugía

La criocirugía es una técnica terapéutica para tratar enfermedades locales (sin compromiso sistémico) mediante el uso de nitrógeno líquido a -196°C, con el fin de generar crionécrosis de manera controlada. En cuestión de segundos genera destrucción celular eficiente, mediante la congelación rápida, descongelación lenta y completa.
Las indicaciones de la criocirugía comprenden lesiones superficiales y pequeñas (menos de 3 cm) que pueden ser neoplasias malignas o benignas.
Neoplasias malignas: carcinoma basocelular, escamoso, adenocarcinoma y hemangiosarcoma cutáneo .
Neoplasias benignas: hemangioma y adenomas sebáceos o melanocitomas.
Las diferencias para tratar una u otra radicará en la cantidad de ciclos de congelación, tiempos y profundidad a tratar.
La técnica permite tratar múltiples lesiones en un mismo acto anestésico, mínimos defectos anatómicos o estéticos, buena tolerancia y menor tiempo anestésico con respecto al abordaje quirúrgico.
La acción del frío en el tejido genera tres fases que se verán reflejados clínicamente con cambios macroscópicos:
- 1° fase o inmediata: sucede cuando se supera el umbral de congelación para un tejido. Estos eventos son microscópicos y causan formación de cristales intra y extracelulares, causando desnaturalización proteica y alteraciones metabólicas. Luego ocurre la fase de descongelación lenta generando cristales de mayor tamaño que destruirán la integridad celular
- 2° fase o mediata: luego de horas del tratamiento se traduce en aumento de permeabilidad vascular, extravasación de líquido hacia el medio extracelular e isquemia. En este momento, podemos ver en el tejido eritema (enrojecimiento) de la zona.
- 3° fase o tardía: sucede a partir de las 24 hs de finalizado el tratamiento. Se puede visualizar una ampolla y la formación de la costra desde y hasta 7-15 días posteriores. La misma no debe ser retirada por el propietario ni por el paciente.

Electroquimioterapia

En las últimas décadas, la electroporación permitió aumentar el ingreso de diferentes moléculas a través de la membrana plasmática. Este fenómeno se logra por medio del uso de trenes de pulsos eléctricos de corta duración administrados con un equipo específico para tal fin.
Las células electroporadas se vuelven permeables a moléculas que de otra forma no podrían ingresar. La administración conjunta de una droga de quimioterapia con impulsos eléctricos conforman lo que se denomina electroquimioterapia (EQT).
Es una técnica local con mínimos o nulos efectos sistémicos.
En Anoikis disponemos de equipamiento y capacitación adecuada para poder realizar esta práctica en nuestros pacientes.

Quimioterapia metronómica o antiangiogénica
Convencionalmente el uso de agentes quimioterapéuticos para el tratamiento de enfermedades oncológicas se basó en un esquema de dosis máxima tolerada (MDT). Este protocolo se basa en la aplicación de un citostático en la dosis que permita ejercer un efecto deletéreo sobre la célula tumoral tratando de preservar sin el mayor trastorno a la célula normal.
En los últimos años la aparición de otra metodología de aplicación de citostáticos ha tomado mucha fuerza. Se la conoce como quimioterapia metronómica (QM) o terapia antiangiogénica. A diferencia del anterior método, su finalidad no es la de matar a la célula tumoral directamente sino sacarle la capacidad de crecer mediante la inhibición de la formación de vasos sanguíneos. Cualquier tejido es incapaz de crecer sin el aporte sanguíneo, a esto no escapa el tejido tumoral. La necesidad de recibir nutrientes, oxígeno y deshacerse de sus productos de desecho es indispensable para que pueda crecer más allá de sus límites.
La QM combina un antiinflamatorio no esteroide y un agente citostático alquilante vía oral (ciclofosfamida o clorambucilo), tanto en caninos como en felinos. Estos medicamentos son administrados por los propietarios. Esta terapia es administrada a largo plazo, generalmente durante varios meses. Su uso dependerá del diagnóstico y estadio de la enfermedad

Radioterapia

La radioterapia consiste en la aplicación de radiación ionizante sobre un tejido afectado macroscópica o microscópicamente por una enfermedad tumoral. Las diferentes técnicas de radioterapia se basan en la profundidad y en el tipo de radiación que entregan.
En Argentina, Petsalud cuenta con un equipo de Ortovoltaje que se utiliza para tratar enfermedades loco-regionales y superficiales, es decir, neoplasias cutáneas o cicatrices para tumores que tienen un alto poder recidivante posterior a su extracción. Desde Anoikis Oncología Veterinaria generamos un convenio para poder realizar esta terapia con nuestros pacientes.
Las sesiones de radioterapia dependen del tipo tumoral y del objetivo buscado, se suelen realizar entre 1 a 3 veces por semana, y de 4 a 6 semanas en total. Las principales ventajas de este tipo de radioterapia son las dosis radiantes altas en estructuras superficiales, sesiones cortas con sedaciones leves, y efectos secundarios mínimos en piel y únicamente en el sector irradiado.

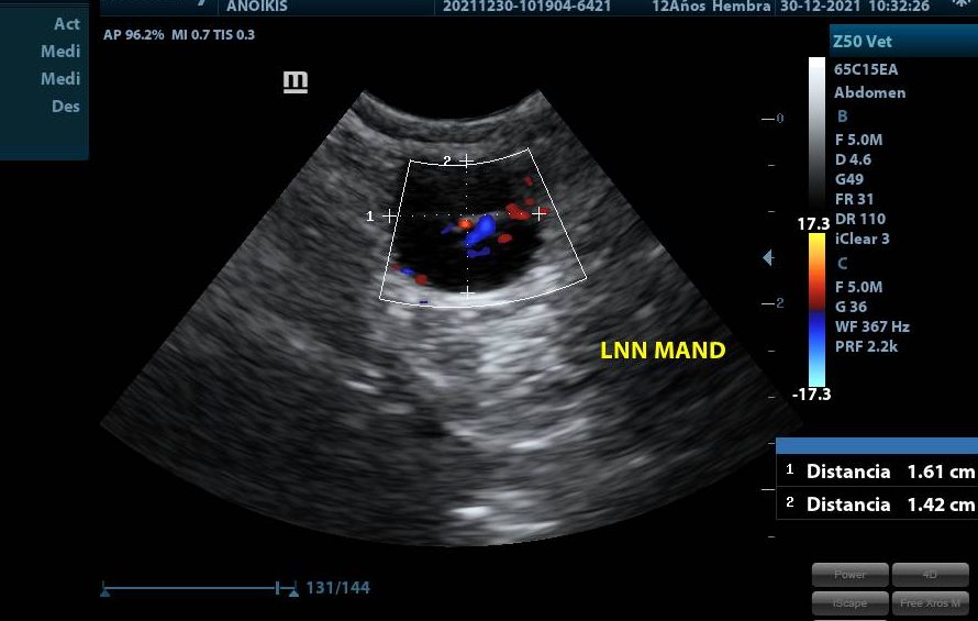
Ecografía

La ecografía en oncología ha evolucionado con los años y permite identificar el o los órganos afectados por la patología tumoral. Si bien esta técnica no permite conocer el diagnóstico final de la enfermedad, es una herramienta fundamental en la clínica oncológica diaria.
El modo B es el más utilizado y permite formar una imagen en tiempo real bidimensional. El Doppler color o power permite en diferentes escalas y precisión determinar el flujo sanguíneo y vascularización de una formación u órgano. Esta técnica es fundamental en oncología ya que en general las enfermedades tumorales malignas tienden a tener mayor vascularización que aquellas no tumorales o benignas. Además, nos permite asegurar una toma de muestra segura cuando se realizan punciones ecoguiadas evitando estructuras altamente vascularizadas.

Cirugía oncológica

La cirugía sigue siendo la principal herramienta terapéutica para el control de la gran mayoría de las enfermedades tumorales en medicina veterinaria. Es esencial conocer cuáles de ellas y en qué momento serán abordadas por la técnica quirúrgica.
Las patologías oncológicas requieren en su extirpación lo que se conoce como margen de seguridad, es decir, incluir un segmento del tejido aparentemente sano tanto en los laterales como en la profundidad, para evitar la recidiva (reaparición del tumor en el sitio quirúrgico). Es por esta razón que la cirugía oncológica requiere por parte del cirujano un conocimiento de diferentes técnicas reconstructivas para poder realizar los cierres de la herida realizada.
En algunos pacientes la cirugía puede tener un rol diagnóstico o paliativo para mejorar la calidad de vida. Las decisiones de cada caso requieren un manejo en conjunto del cirujano y oncólogo tratante.

Oncohematología

Esta rama de la oncología es fundamental para el diagnóstico y tratamiento de diferentes patologías tumorales. También nos permite identificar enfermedades infecciosas que pueden complicar o asemejar a procesos oncológicos: erlichiosis, babesiosis o anaplasmosis en el caso de los caninos, y virus de inmunodeficiencia o de leucemia felina (Vif y ViLef respectivamente).
Con la interpretación del hemograma y la médula ósea se puede conocer cómo está funcionando el principal órgano productor de células sanguíneas. Para poder realizar esta lectura es necesario dos herramientas: la extracción de sangre y la punción de médula ósea. Ambas técnicas son mínimamente invasivas y en pocos casos requiere la sedacion del paciente
Otras especialidades
En Anoikis contamos con un grupo de profesionales dedicados a otras áreas relacionadas a la oncología para poder realizar un manejo integral y multimodal del paciente.
-
Cardiología
Diagnóstico por Ecocardiografia Doppler y electrocardiografia. Monitoreo cardiológico de pacientes en quimioterapia.
-
Algiología
Servicio especializado de terapia del dolor oncológico. Atencion integrada de cuidados paliativos. Terapia multimodal.
-
Nutrición
Especialista en nutrición orientada a pacientes oncológicos. Formulación de dietas basadas en el bienestar del paciente.
-
Neurología
Diagnóstico y manejo de pacientes con patologías Neuro-oncológicas. Terapia de sostén manteniendo el vínculo entre neurólogos y oncólogos.