Skip to content
Logo Anoikis

Anoikis

  • Inicio
  • Equipo
  • Servicios
    • Todos los servicios
    • Quimioterapia
    • Citología y biopsia
    • Criocirugía
    • Electroquimioterapia
    • Quimioterapia metronómica o antiangiogénica
    • Radioterapia
    • Ecografía
    • Cirugía oncológica
    • Oncohematología
  • Información
  • Turnos
Imagen de perro y gato, información sobre tratamientos oncológicos para mascotas

Información

Encontrá aquí las últimas novedades.

Visual Portfolio, Posts & Image Gallery para WordPress
Ver todas
Artículos
Tratamientos
Artículos
Imagen de un veterinario realizando una biopsia ecoguiada en un perro o gato para diagnóstico oncológico

Citologia y biopsia ecoguiada

Artículos
Veterinario realizando operación para eliminar carcinoma pulmonar y tratar osteopatía hipertrófica en canino

Resolución de un síndrome de osteopatía hipertrófica asociado a carcinoma pulmonar en un canino.

Artículos
Imagen microscópica mostrando el análisis de una muestra obtenida por citología o biopsia para diagnóstico oncológico en una mascota

Citología o Biopsia en el paciente oncológico

Tratamientos
Imagen de un perro en consulta veterinaria de emergencia para diagnóstico oncológico

Emergencias Oncológicas

Tratamientos

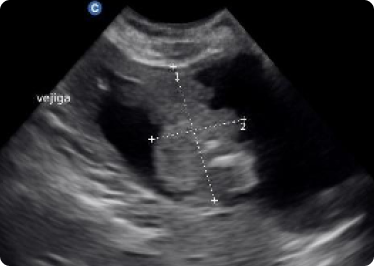
Tratamiento de las neoplasias de Vejiga en Veterinaria

Anoikis Logo
  • DirecciónCalle 64 N° 640 entre 7 y 8.
    La Plata, Buenos Aires, Argentina
  • Teléfono+54 9 221 537 2816
  • Mailinfo@anoikisvet.com
  • Linkedin
  • Instagram
  • Facebook
  • Nuestros servicios
  • Nuestro equipo
Reservar un turnoReservar un turno Escribinos por WhatsAppEscribinos por WhatsApp
Diseño y desarrollo por Surco Creative & Wemabra
  • Inicio
  • Equipo
  • Servicios
    • Todos los servicios
    • Quimioterapia
    • Citología y biopsia
    • Criocirugía
    • Electroquimioterapia
    • Quimioterapia metronómica o antiangiogénica
    • Radioterapia
    • Ecografía
    • Cirugía oncológica
    • Oncohematología
  • Información
  • Turnos